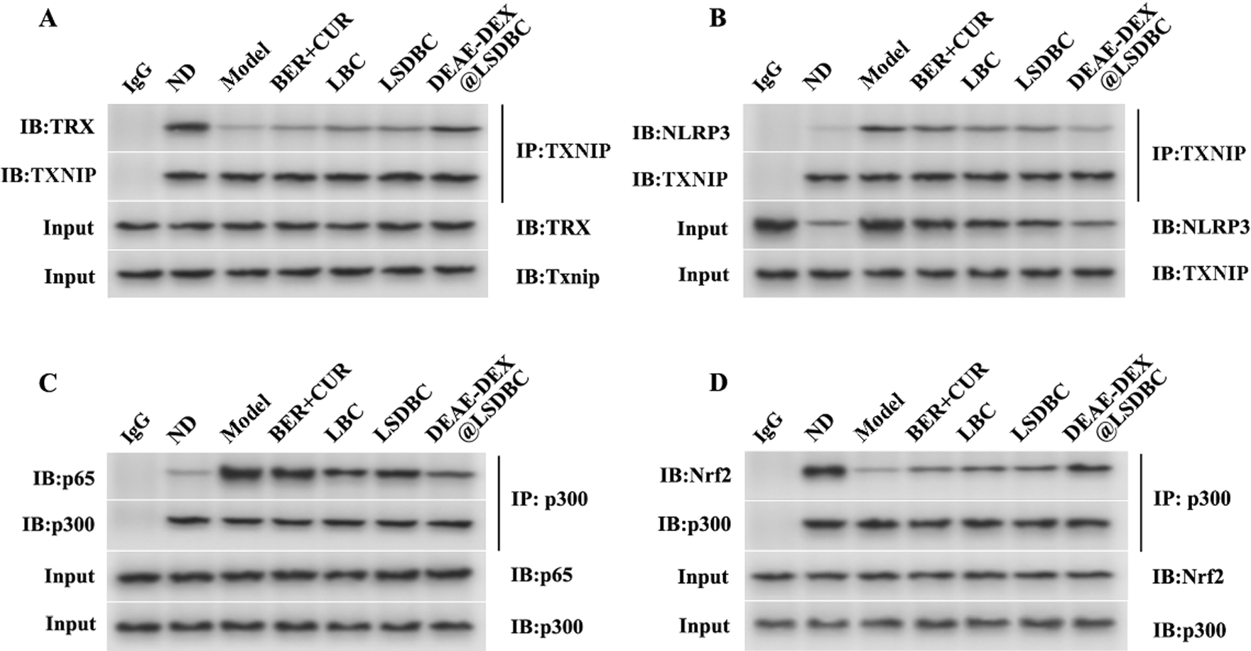
Fig. 10

DEAE-DEX@LSDBC promoted TRX-TXNIP and Nrf2–p300 binding. Liver tissue lysates were analyzed for the interaction of TXNIP and A TRX or B NLRP3 and the interaction of p300 and C p65 or D Nrf2 by immunoprecipitation

DEAE-DEX@LSDBC promoted TRX-TXNIP and Nrf2–p300 binding. Liver tissue lysates were analyzed for the interaction of TXNIP and A TRX or B NLRP3 and the interaction of p300 and C p65 or D Nrf2 by immunoprecipitation